Skręcenie kręgosłupa szyjnego to powszechny uraz, który może wystąpić w wyniku wypadku, upadku lub nagłego ruchu głowy. Często objawia się bólem, sztywnością oraz ograniczeniem ruchomości szyi. Ważne jest, aby jak najszybciej zasięgnąć porady medycznej, ponieważ odpowiednie leczenie może znacznie skrócić czas powrotu do zdrowia. W artykule omówimy, jak długo trwa leczenie skręcenia kręgosłupa szyjnego, jakie metody są stosowane oraz co każdy pacjent powinien wiedzieć o procesie rehabilitacji.
Kluczowe wnioski- Skręcenie kręgosłupa szyjnego może prowadzić do różnych objawów, w tym bólu i ograniczenia ruchomości.
- Czas leczenia zależy od ciężkości urazu i może wynosić od kilku dni do kilku tygodni.
- Diagnostyka obejmuje badania obrazowe i wywiad lekarski.
- Dostępne metody leczenia to rehabilitacja, leki oraz w cięższych przypadkach interwencje chirurgiczne.
- Rehabilitacja odgrywa kluczową rolę w powrocie do zdrowia i zapobieganiu nawrotom.
- Ważne jest monitorowanie objawów i konsultacja z lekarzem w przypadku ich nasilenia.
Co to jest skręcenie kręgosłupa szyjnego?
Skręcenie kręgosłupa szyjnego to uraz, który często występuje przy nagłych ruchach głowy, upadkach lub wypadkach komunikacyjnych. W takim przypadku dochodzi do uszkodzenia tkanek i stawów w obrębie szyi. Osoby poszkodowane mogą odczuwać silny ból, sztywność oraz inne nieprzyjemne objawy.
Przyczyny skręcenia kręgosłupa szyjnego są różnorodne. Najczęściej urazy te mają miejsce w wyniku wstrząsów podczas wypadków drogowych lub sportowych. Ogólnie rzecz biorąc, im szybciej zostanie udzielona pomoc medyczna, tym lepiej dla procesu leczenia.
Jakie są typowe objawy skręcenia kręgosłupa szyjnego?
Objawy skręcenia kręgosłupa szyjnego mogą być bardzo zróżnicowane, ale najczęściej obejmują:
- Ból w okolicy szyi, który może promieniować do ramion i głowy.
- Sztywność oraz ograniczenie ruchomości głowy, co utrudnia codzienne czynności.
- Problemy z równowagą oraz zawroty głowy.
- Uczucie mrowienia lub drętwienia w rękach.
Wszystkie te objawy mogą wystąpić natychmiast po urazie lub rozwijać się z czasem. Ważne jest, aby zwrócić uwagę na każdy z nich i nie bagatelizować ich, ponieważ mogą prowadzić do poważniejszych problemów zdrowotnych.
Jak diagnozuje się skręcenie kręgosłupa szyjnego?
Diagnostyka skręcenia kręgosłupa szyjnego zazwyczaj rozpoczyna się od szczegółowego wywiadu lekarskiego. Lekarz zbiera informacje o okolicznościach urazu oraz objawach zgłaszanych przez pacjenta.
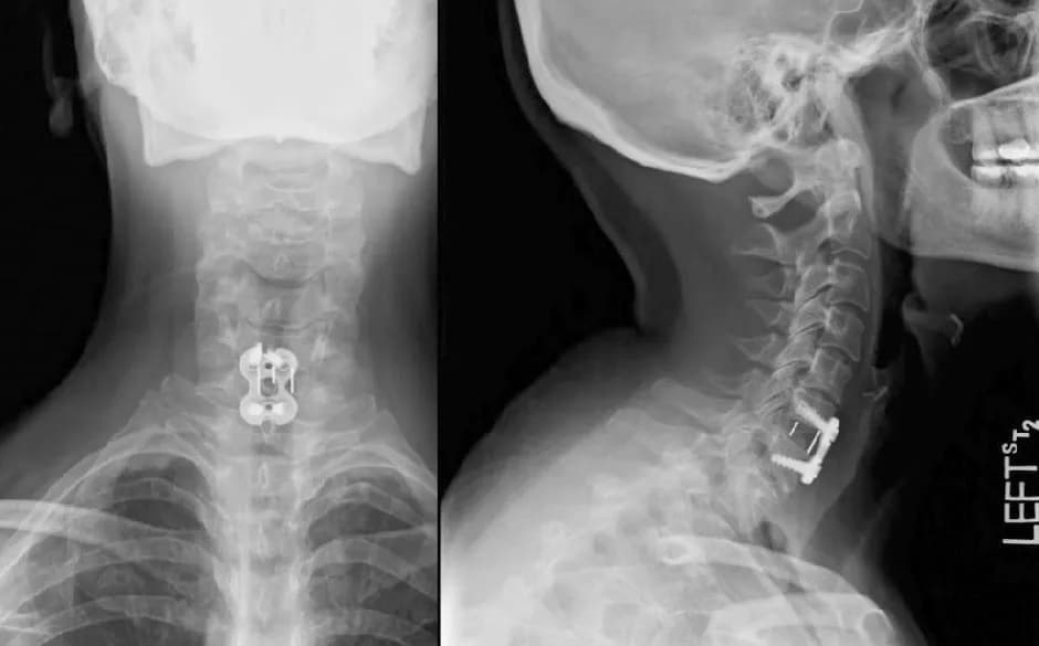
W dalszym etapie przeprowadzane są badania obrazowe, takie jak rentgen, tomografia komputerowa (CT) lub rezonans magnetyczny (MRI). Te metody pozwalają na dokładną ocenę stanu tkanek oraz struktur kostnych w okolicy szyi.
Jak długo trwa proces leczenia?
Czas leczenia skręcenia kręgosłupa szyjnego jest uzależniony od ciężkości urazu. U niektórych pacjentów leczenie skręcenia szyi może trwać od kilku dni do kilku tygodni, podczas gdy w bardziej skomplikowanych przypadkach może sięgnąć nawet kilku miesięcy.
W przypadku łagodnych urazów, takich jak naciągnięcie mięśni, czas powrotu do zdrowia może wynosić zaledwie 1-2 tygodnie. Natomiast bardziej złożone przypadki, wymagające interwencji chirurgicznej, mogą wydłużyć ten proces do 3-6 miesięcy.
Jakie metody leczenia są dostępne?
Metody leczenia skręcenia kręgosłupa szyjnego obejmują kilka podejść, które mogą być dostosowane do indywidualnych potrzeb pacjenta:
| Metoda | Opis |
| Odpoczynek | Kluczowy element, który pozwala na regenerację tkanek. |
| Leki przeciwbólowe | Pomagają w łagodzeniu bólu oraz zmniejszaniu stanów zapalnych. |
| Fizjoterapia | Rehabilitacja po wiplash, która obejmuje ćwiczenia wzmacniające, stretching i terapie manualne. |
| Interwencja chirurgiczna | W przypadku cięższych urazów, gdy inne metody nie przynoszą efektów. |
Jakie są zalecenia dotyczące odpoczynku i aktywności?
Odpoczynek jest fundamentalny w procesie leczenia skręcenia kręgosłupa szyjnego. Zaleca się unikanie wszelkich aktywności, które mogą obciążać szyję przez co najmniej kilka dni po urazie. Warto także zadbać o odpowiednią postawę, aby zminimalizować dyskomfort.
Po ustąpieniu bólu można stopniowo wracać do codziennych aktywności. Kluczowe jest jednak, aby robić to pod okiem specjalisty. Fizjoterapeuta pomoże w opracowaniu planu, który pozwoli na bezpieczny powrót do pełnej sprawności.
Czy istnieją czynniki wpływające na czas leczenia?
Tak, istnieje wiele czynników, które mogą wpływać na czas leczenia skręcenia kręgosłupa szyjnego. Po pierwsze, wiek pacjenta ma znaczenie: młodsze osoby zazwyczaj lepiej się regenerują. Również ogólny stan zdrowia oraz towarzyszące choroby mogą wpływać na tempo powrotu do zdrowia.
Kolejnym istotnym czynnikiem jest sposób, w jaki skręcenie kręgosłupa szyjnego jest leczone. Wczesna interwencja oraz stosowanie odpowiednich metod rehabilitacji mogą znacząco przyspieszyć proces leczenia.
Jakie są możliwe powikłania?
W przypadku niewłaściwego leczenia lub braku odpowiedniej rehabilitacji, mogą wystąpić powikłania. Należą do nich przewlekły ból szyi, problemy z ruchomością oraz, w skrajnych przypadkach, uszkodzenia nerwów. Takie sytuacje mogą prowadzić do trudności w wykonywaniu codziennych czynności.
Ważne jest, aby monitorować objawy i nie ignorować ich nasilenia. Regularne konsultacje z lekarzem pomogą w uniknięciu powikłań.
Jakie są zalecenia po zakończeniu leczenia?
Po zakończeniu leczenia istotna jest rehabilitacja, która pomoże w powrocie do pełnej sprawności. Zajęcia ruchowe powinny być dostosowane do indywidualnych potrzeb pacjenta i prowadzone pod okiem specjalisty.
Dodatkowo, warto wprowadzić zmiany w stylu życia, takie jak regularne ćwiczenia wzmacniające, aby zapobiegać nawrotom urazów. Bezpieczne ćwiczenia mogą znacznie poprawić stan zdrowia i samopoczucie.
Kiedy należy zgłosić się do lekarza?
Niektóre objawy powinny skłonić pacjenta do natychmiastowej wizyty u lekarza. Jeśli ból nasila się, pojawiają się trudności w poruszaniu głową lub występują uczucia mrowienia w kończynach, należy jak najszybciej skonsultować się ze specjalistą.
Wczesna diagnoza jest kluczowa dla powodzenia leczenia i minimalizacji ryzyka powikłań. Nie warto czekać — zdrowie jest najważniejsze!
Co warto wiedzieć o rehabilitacji?
Rehabilitacja po skręceniu kręgosłupa szyjnego jest niezbędna, aby przywrócić pełną funkcjonalność szyi. Ćwiczenia powinny być dostosowane do stanu pacjenta oraz jego postępów w leczeniu. Zazwyczaj obejmują one rozciąganie, wzmocnienie mięśni oraz ćwiczenia koordynacyjne.
Warto korzystać z doświadczenia fizjoterapeutów, którzy potrafią zaplanować odpowiedni program rehabilitacji. Dobry plan rehabilitacyjny może znacznie skrócić czas powrotu do zdrowia po urazie szyi.
Jakie są źródła wsparcia dla pacjentów?
Wiele osób po skręceniu kręgosłupa szyjnego może skorzystać z dodatkowych źródeł wsparcia. Istnieją grupy wsparcia oraz terapie alternatywne, które oferują zarówno edukację, jak i wsparcie emocjonalne. Takie inicjatywy mogą pomóc w radzeniu sobie z bólem oraz rehabilitacją.
Warto również poszukać informacji w Internecie lub w lokalnych placówkach zdrowia, które często organizują warsztaty dla pacjentów po urazach kręgosłupa.
Wszystko, co musisz wiedzieć o leczeniu skręcenia kręgosłupa szyjnego
Skręcenie kręgosłupa szyjnego to uraz, który może znacząco wpłynąć na komfort życia i codzienne funkcjonowanie. Czas leczenia tego schorzenia zależy od wielu czynników, w tym ciężkości urazu oraz ogólnego stanu zdrowia pacjenta. Dlatego tak ważne jest, aby osoby zmagające się z tym problemem nie ignorowały objawów, takich jak ból czy sztywność, i jak najszybciej zgłosiły się do lekarza.
W artykule omówiliśmy kluczowe aspekty leczenia, w tym różne metody terapeutyczne oraz znaczenie rehabilitacji, która jest niezbędna do pełnego powrotu do zdrowia. Odpowiednia rehabilitacja po wiplash oraz pielęgnacja zdrowia kręgosłupa szyjnego mają ogromne znaczenie w zapobieganiu nawrotom urazów i powikłaniom.
Na koniec warto podkreślić, że każdy przypadek jest inny. Dlatego kluczowe jest, aby podejść do leczenia indywidualnie, zasięgając rady specjalistów i stosując się do ich zaleceń. Inwestycja w zdrowie kręgosłupa jest inwestycją w lepszą jakość życia, dlatego nie warto czekać z decyzjami o rozpoczęciu terapii.






