Skręcenie stawu biodrowego to poważny uraz, który może wystąpić w różnych sytuacjach, takich jak wypadki komunikacyjne czy intensywny wysiłek fizyczny. Objawy skręcenia mogą być bardzo uciążliwe, a ich rozpoznanie jest kluczowe dla skutecznego leczenia. W tym artykule dowiesz się, jak rozpoznać objawy skręcenia stawu biodrowego oraz jakie metody leczenia są dostępne, aby szybko wrócić do pełnej sprawności. Poznasz także informacje dotyczące rehabilitacji i możliwych powikłań związanych z nieleczonym urazem.
Kluczowe wnioski- Skręcenie stawu biodrowego objawia się silnym bólem i obrzękiem w okolicy stawu.
- W przypadku pojawienia się objawów należy niezwłocznie skonsultować się z lekarzem.
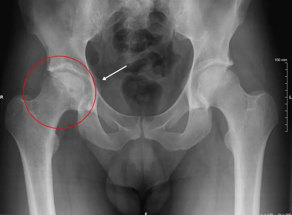
- Diagnostyka może obejmować badania obrazowe, takie jak RTG czy MRI.
- Metody leczenia obejmują nastawienie stawu, farmakoterapię oraz rehabilitację.
- Nieleczone skręcenie może prowadzić do poważnych powikłań, takich jak martwica głowy kości udowej.
- Rehabilitacja jest istotna dla przywrócenia pełnej sprawności po urazie.
- Zapobieganie urazom stawu biodrowego jest możliwe poprzez odpowiednie przygotowanie do aktywności fizycznej.
Czym jest skręcenie stawu biodrowego?
Skręcenie stawu biodrowego to uraz, który często występuje w wyniku silnych kontuzji, takich jak wypadki samochodowe czy upadki. Warto zauważyć, że skręcenie nie jest tym samym co zwichnięcie. Skręcenie oznacza uszkodzenie więzadeł, które stabilizują staw, podczas gdy zwichnięcie wiąże się z przesunięciem kości w stawie. Wiedza na temat różnicy między tymi urazami jest kluczowa dla skutecznego leczenia.
Uraz stawu biodrowego, w tym objawy urazu stawu biodrowego, mogą znacznie obniżyć jakość życia. Osoby z tym schorzeniem często zmagają się z ograniczeniami w ruchu oraz nieprzyjemnymi dolegliwościami bólowymi. Dlatego tak istotne jest, aby szybko rozpoznać objawy skręcenia stawu biodrowego i podjąć odpowiednie kroki w celu ich leczenia.
Jakie są objawy skręcenia stawu biodrowego?
Rozpoznanie skręcenia stawu biodrowego objawy jest kluczowe dla dalszego postępowania. Pierwszym i najbardziej oczywistym objawem jest silny ból w okolicy stawu, który uniemożliwia normalne poruszanie nogą. Często ból promieniuje do uda i może być odczuwany jako pieczenie lub kłucie.
Inne charakterystyczne objawy urazu stawu biodrowego to:
- Obrzęk i krwiak: W obrębie stawu pojawia się opuchlizna oraz zasinienie, co jest wynikiem uszkodzenia tkanek.
- Zniekształcenie stawu: Może wystąpić widoczne zniekształcenie obrysów stawu, co jest alarmującym sygnałem.
- Wrażliwość na dotyk: Staw staje się bardzo wrażliwy, co potęguje ból przy próbie dotyku.
- Brak czucia: W przypadku uszkodzenia nerwów może wystąpić osłabienie lub całkowity brak czucia w stopie.
Jak rozpoznać skręcenie stawu biodrowego?
Obserwowanie objawów skręcenia stawu biodrowego jest niezbędne, aby móc podjąć odpowiednie działania. W przypadku pojawienia się silnego bólu oraz obrzęku w okolicy stawu, warto zwrócić się do lekarza. Urazy stawu biodrowego są często mylone z mniej poważnymi kontuzjami, dlatego istotne jest, aby nie ignorować objawów.
Jeśli zauważysz zniekształcenie stawu lub trudności w poruszaniu się, nie czekaj. Szybka reakcja może zapobiec poważniejszym komplikacjom. Kluczowe jest również, aby podjąć działania w przypadku wrażliwości na dotyk i braku czucia, gdyż mogą one sugerować uszkodzenia nerwów.
Jakie są przyczyny skręcenia stawu biodrowego?
Bezpośrednie przyczyny skręcenia stawu biodrowego mogą być różnorodne. Do najczęstszych sytuacji prowadzących do tego urazu należą:
- Wypadki komunikacyjne, w których dochodzi do intensywnego wstrząsu.
- Upadki z wysokości, które zwykle powodują dużą siłę działającą na staw.
- Intensywny wysiłek fizyczny, np. podczas uprawiania sportów kontaktowych.
Zrozumienie tych przyczyn może pomóc w zapobieganiu przyszłym urazom. Często nieprawidłowe techniki wykonywania ćwiczeń fizycznych są również przyczyną urazów stawu biodrowego.
Jakie badania diagnostyczne są zalecane?
Rozpoczęcie leczenia skręcenia stawu biodrowego wymaga dokładnej diagnozy. Lekarze zazwyczaj zalecają wykonanie następujących badań:
| Rodzaj badania | Cel badania |
| RTG | Ocena kości i wykrycie złamań. |
| MRI | Dokładna ocena tkanek miękkich i więzadeł. |
W oparciu o wyniki badań lekarz podejmuje decyzję o dalszym leczeniu. Właściwa diagnoza jest kluczowa dla skutecznego wyleczenia.
Jakie są metody leczenia skręcenia stawu biodrowego?
W przypadku skręcenia stawu biodrowego dostępne są różne metody leczenia. Najważniejsze to:
- Nastawienie stawu: W wielu przypadkach konieczne jest przywrócenie stawu do prawidłowej pozycji, co odbywa się zazwyczaj w znieczuleniu ogólnym.
- Farmakoterapia: Leki przeciwbólowe i przeciwzapalne mogą pomóc w łagodzeniu dolegliwości.
- Rehabilitacja: Po ustąpieniu objawów następuje wprowadzenie programu rehabilitacyjnego, który wspomaga powrót do zdrowia.
Ważne jest, aby nie ignorować symptomów i niezwłocznie podjąć odpowiednie kroki. Leczenie na każdym etapie powinno być dostosowane do konkretnego przypadku.
Jak przebiega rehabilitacja po skręceniu stawu biodrowego?
Rehabilitacja po skręceniu stawu biodrowego jest niezwykle istotna i powinna rozpocząć się jak najszybciej. Celem rehabilitacji jest przywrócenie pełnej sprawności stawu oraz zapobieganie dalszym urazom. Program rehabilitacyjny zazwyczaj obejmuje ćwiczenia mające na celu wzmocnienie mięśni wokół stawu oraz poprawę zakresu ruchu.
Współpraca z terapeutą jest kluczowa w tym procesie. Otrzymasz wskazówki dotyczące odpowiednich ćwiczeń oraz sposobów na uniknięcie przeciążeń. Każda sesja rehabilitacyjna powinna być dostosowana do aktualnego stanu pacjenta.
Jakie są możliwe powikłania?
Nieleczone skręcenie stawu biodrowego może prowadzić do poważnych komplikacji. Warto znać potencjalne ryzyka, które mogą wystąpić. Najczęstsze powikłania to:
- Martwica głowy kości udowej: Może wystąpić w wyniku zaburzeń krążenia krwi w kości.
- Trwałe uszkodzenia nerwów: Nieleczone urazy mogą prowadzić do długotrwałych problemów z czuciem.
Dlatego tak ważne jest, aby nie zaniedbywać żadnych objawów i jak najszybciej skontaktować się z lekarzem.
Jak można zapobiegać skręceniu stawu biodrowego?
Zapobieganie skręceniu stawu biodrowego jest kluczowe, aby uniknąć nieprzyjemności związanych z tym urazem. Warto wprowadzić kilka zasad, które pomogą Ci w tym zakresie:
- Upewnij się, że stosujesz prawidłową technikę podczas ćwiczeń fizycznych.
- Unikaj sytuacji zagrażających bezpieczeństwu, takich jak skoki z dużych wysokości bez zabezpieczeń.
- Wzmacniaj mięśnie i dbaj o ich elastyczność, aby poprawić stabilność stawu biodrowego.
Kiedy należy udać się do lekarza?
Szybka reakcja jest kluczowa w przypadku podejrzenia skręcenia stawu biodrowego. Jeżeli odczuwasz silny ból, obrzęk, zniekształcenie stawu lub brak czucia w stopie, nie zwlekaj. Im szybciej udasz się do lekarza, tym szybciej będziesz mógł rozpocząć leczenie i rehabilitację. Pamiętaj, że ignorowanie objawów może prowadzić do poważniejszych problemów zdrowotnych.
Kluczowe informacje o skręceniu stawu biodrowego i jego objawach
Skręcenie stawu biodrowego to poważny uraz, który można łatwo pomylić z innymi kontuzjami, dlatego tak istotne jest, aby znać jego objawy oraz przyczyny. Ból, obrzęk i zniekształcenie stawu to sygnały, które powinny skłonić do natychmiastowej konsultacji z lekarzem. Odpowiednia diagnostyka, w tym badania obrazowe, pozwala na skuteczne leczenie, które obejmuje zarówno farmakoterapię, jak i rehabilitację.
Ignorowanie objawów może prowadzić do poważnych powikłań, takich jak martwica głowy kości udowej czy trwałe uszkodzenia nerwów. Dlatego ważne jest, aby dbać o swoje zdrowie i podejmować działania zapobiegawcze, jak odpowiednia technika ćwiczeń i unikanie niebezpiecznych sytuacji. Ostatecznie, szybka reakcja i dobre zrozumienie skręcenia stawu biodrowego mogą znacząco wpłynąć na powrót do pełnej sprawności i jakości życia.






